ПОДПИШИТЕСЬ НА РАССЫЛКУ
Будьте в курсе самых полезных новостей!
Полезная информация и самые интересные статьи

Новости

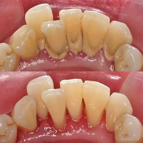
Что такое зубной камень и как его удалить?
Почему у женщин больше проблем с зубами?
Дети первый раз в стоматологической клинике
Чего вы еще не знаете об имплантах?
Красивая улыбка благодаря винирам
Советы по стоматологическим подаркам
Самая эффективная зубная паста
7 вопросов, которые нужно задать при поиске нового стоматолога
Воспаление зубного нерва