ПОДПИШИТЕСЬ НА РАССЫЛКУ
Будьте в курсе самых полезных новостей!
Полезная информация и самые интересные статьи

Полезная информация

Виниры
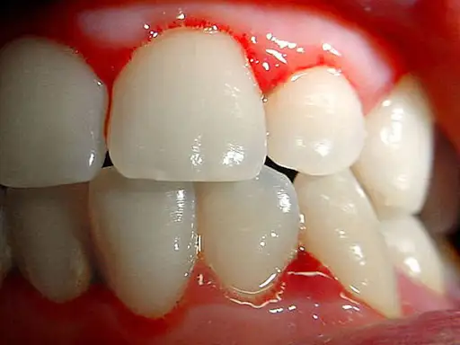
Кровоточивость десен
Вкладка как способ восстановления целостности зуба
Чувствительность зубов: как бороться?
Острая зубная боль
Всегда ли нужно удалять зубы мудрости при установке брекетов?
Приучаем малыша чистить зубки
Выбор зубной пасты
Подготовка ребенка к посещению стоматолога