ПОДПИШИТЕСЬ НА РАССЫЛКУ
Будьте в курсе самых полезных новостей!
Полезная информация и самые интересные статьи

Полезная информация

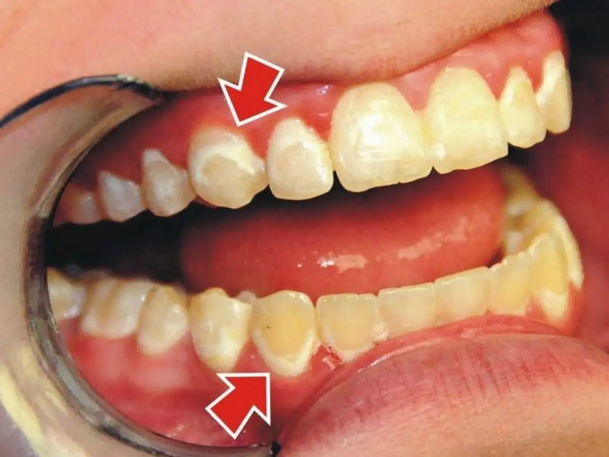
Флюороз на зубах: опасность, которую видно
Профессиональное укрепление зубной эмали
Молочные зубы у взрослых: норма или аномалия? Что с этим делать?
Миорелаксирующая капа для лечения ВНЧС – это реальность?
Ремтерапия и отбеливание зубов в одном уникальном геле ROCS minerals medical
Влияние мультфильмов, планшетов на развитие кариеса и неправильного прикуса зубов
Циркониевые коронки. Роскошь или необходимость?
Цветные пломбы в детской стоматологии: за и против
Пульпит: откуда берётся во временных зубах?