ПІДПИШІТЬСЯ НА РОЗСИЛКУ
Будьте в курсі найкорисніших новин!
Корисна інформація і найцікавіші статті

Корисна інформація

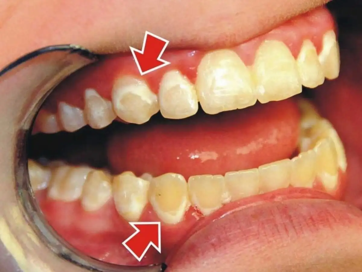
Флюороз на зубах: небезпека, яку видно
Професійне зміцнення зубної емалі
Молочні зуби у дорослих: норма чи аномалія? Що із цим робити?
Міорелаксуюча капа для лікування СНЩС – це реальність?
Вплив мультфільмів, планшетів на розвиток карієсу та неправильного прикусу зубів
Цирконієві коронки. Розкіш чи необхідність?
Кольорові пломби у дитячій стоматології: за та проти
Пульпіт: звідки береться у тимчасових зубах?
Чому постійні зуби більш жовті?