ПІДПИШІТЬСЯ НА РОЗСИЛКУ
Будьте в курсі найкорисніших новин!
Корисна інформація і найцікавіші статті

Корисна інформація

Вініри
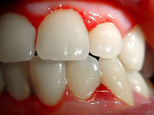
Кровоточивість ясен
Вкладка як спосіб відновлення цілісності зуба
Гострий зубний біль
Чи завжди потрібно видаляти зуби мудрості при встановленні брекетів?
Привчаємо малюка чистити зубки
Вибір зубної пасти
Підготовка дитини до відвідування стоматолога
Люмініри